
[데일리메디 고재우 기자] 세브란스병원에서 코로나19 완치자의 혈장으로 치료를 받던 중증환자 2명이 완치 판정을 받았다. 이에 따라 혈장치료에 대한 기대감 및 혈장 확보 등 시스템 구축의 필요성이 높아질 것으로 보인다.
세브란스병원은 최준용 감염내과 교수팀[사진]이 국내 최초로 코로나19 환자 2명을 대상으로 완치자의 혈장을 주입한 결과 증세가 호전됐다고 7일 밝혔다. 혈장치료를 받은 2명은 모두 완치됐고, 이중 1명은 퇴원했다.
최 교수팀은 급성호흡곤란증후군(ARDS)이 동반된 코로나19 중증 환자 2명을 대상으로 완치자의 혈장을 사용, 치료에 나섰는데, 완치자 혈장을 이용한 치료는 중증급성호흡기증후군(SARS)·중동호흡기증후군(MERS)·에볼라 바이러스·조류 독감 등 신종바이러스 감염에도 이용된 바 있다.

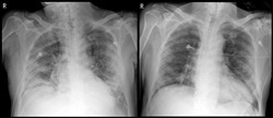
완치자 2명 중 김모 씨(71·남자)는 말라리아치료제와 에이즈치료제 등 항바이러스 치료를 받았으나 상태가 좋아지지 않아 세브란스병원으로 이송됐다. 도착 당시 호흡 속도는 분당 30회 이상(정상 성인의 경우 20회 이하)이었는데, 흉부 X-ray검사에서 양쪽 폐 모두에서 심각한 폐렴 증상을 보였다.
이후 급성호흡곤란증후군으로 인공호흡기를 부착했으나 상태는 좋아지지 않았고, 염증수치를 나타내는 C-반응성단백(CRP)의 경우 172.6mg/L(정상은 8mg/L 미만)까지 상승했다.
이에 최 교수팀은 코로나19 완치 판정을 받고 2주가 지난 남성의 회복기 혈장 500ml를 김 씨에게 12시간 간격으로 두 번에 걸쳐 투여했다. 스테로이드 치료도 병행했다. 이후 김 씨는 열이 떨어지고, CRP도 5.7mg/L로 떨어졌다. 흉부 X-ray 검사상 양쪽 폐도 더 이상 나빠지지 않았고, 혈장 투여로 인한 부작용도 없었다.
현재 김 씨는 인공호흡기를 제거한 상태고, 코로나19 검사에서도 음성 반응이 나왔다.

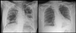
또 다른 완치자 이모 씨(67·여자)는 코로나19 진단 3일째 호흡 곤란으로 산소요구량이 높아지고, 왼쪽 폐의 상태가 악화되면서 세브란스병원으로 이송됐다.
이송 당시 호흡 속도는 분당 24회, 산소포화도는 93%(일반 평균 95% 이상)이었다. 면역결핍(림프구감소증)과 함께 CRP 역시 314mg/L까지 상승했고, 인공호흡기를 부착하기에 이르렀다. 말리리아치료제·에이즈치료제 투입, 산소 수치를 높이기 위해 몸을 뒤집는 치료를 시도했으나 림프구감소증과 고열은 지속됐다.
이 씨의 경우에도 완치자의 회복기 혈장을 12시간 간격으로 2회 투여했다. 혈장 투여와 스테로이드 시쵸를 시행한 후 림프구 수가 회복되고, 바이러스 농도도 감소했다. 흉부 X-ray 검사에서 폐의 침윤이 몰라보게 좋아졌고, CRP 역시 정상 수준을 회복했다. 이 씨는 완치 판정을 받고 지난달 말게 퇴원했다.
최 교수는 “두 환자 모두 회복기 혈장 투여와 스테로이드 치료 후 염증 수치, 림프구 수 등 각종 임상 수치가 좋아졌다”며 “회복기 혈장 속에 있는 중화 항체를 통해 바이러스 증식을 억제하는 것이 같이 들어가면 도움이 될 수 있고, 이런 조합이 위중한 코로나19 환자에게 시도될 수 있다”고 말했다.
이어 “혈장치료가 나름의 부작용이 있고, 대규모 임상시험이 없어 과학적인 증거는 불충분하지만 항바이러스 치료 등 효과가 없는 중증 환자들에게 스테로이드 등 치료와 병행할 수 있는 치료 대안이 될 것”이라고 덧붙였다.