

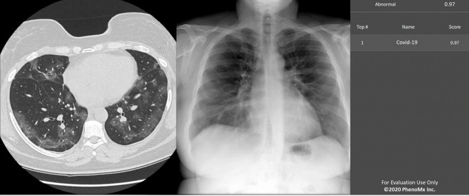
[사진설명 : 인공지능이 폐CT 및 X-RAY 영상을 통해 신종 코로나바이러스 침범 수치를 제시한 결과]
[데일리메디 임수민 기자] 국내에서 개발된 코로나19 진단 속도와 정확도를 높일 수 있는 영상 진단 인공지능(AI) 서비스가 미국시장에 진출했다.
의료용 AI 전문기업 피노맥스(대표 김한석)와 명지병원(이사장 이왕준)은 최근 코로나19 진단 지원 AI서비스 ‘Xray & CT Screening Protocol’(제품명: Phenochest-AI)을 미국시장에 전격 공개했다고 밝혔다.
진단키트 개발업체 (주)캔서롭(대표 이왕준)이 미국 FDA에 신청한 코로나19 진단키트 사용 승인 시점에 AI기반 영상 진단 솔루션과 진단키트를 패키지화한 통합서비스로도 미국에 선보일 예정이다.
코로나19 AI 진단 지원 서비스 ‘피노체스트AI'는 코로나19 확진자의 폐 CT와 X-ray 영상데이터 등을 기반으로 한 딥러닝 알고리즘을 통해 코로나19 확진 여부를 수 초 안에 신속하게 구별하는 AI 의료영상 분석기술이다.
Phenochest-AI는 바이러스 진단 키트 상 양성으로 판정된 환자들을 대상으로 촬영한 Xray와 CT상 바이러스 침범 지수를 수 초 내 자동으로 제시한다.
피노맥스 김한석 대표는 “인터넷만 연결된 환경이면 병원 PACS에서 누구나 받는 DICOM 파일뿐만 아니라 JPG, BMP 파일로도 쉽게 바이러스 침범 지수를 확인할 수 있도록 설계했다”고 설명했다.
이어 “PCR 진단 키트 상 양성인 바이러스 환자들을 자가 격리할지, 입원할지, 중환자실 치료를 바로 시작할지 등 의사들의 치료 계획 수립에 빠르고 간편하게 지수를 참고하도록 했다”고 덧붙였다.
피노맥스는 캔서롭이 개발한 코로나19 진단키트 ‘Q-Sens 2019-nCoV Detection Kit’의 FDA 긴급사용 승인이 나는 대로 두 제품을 패키지화해 미국 기관 및 병원 등에 공급할 계획이다.
이를 위해 캔서롭은 피노맥스 미국 법인을 진단키트 FDA 긴급승인을 위한 대리인으로 지정하고 긴급사용승인(EUA) 신청을 마쳤으며, 현재 승인 전(前) 검수 절차가 진행되고 있다.
명지병원과 피노맥스는 앞으로 염증 수치와 프로칼시토닌 등 전 세계 코로나19 환자들의 생체 지수를 바이러스 침범 지수와 결합해 코로나스 진단 및 질병 예후 지수로 심화하고 연내 FDA 승인을 추진할 계획이다.
한국에서의 서비스는 인공지능 정확도가 충분히 높다는 것을 확인해 진료에 혼선을 가하지 않는다는 질병관리본부의 엄격한 지휘를 받아 의료기기 인허가 후 서비스를 추진한다는 방침이다.
이왕준 캔서롭 대표이사 겸 명지병원 이사장은 “신종 코로나바이러스 영상 등의 임상데이터에 딥러닝 알고리즘 학습방법을 적용, 바이러스 침범지수를 계량화한 초기 AI를 개발할 수 있었다”고 말했다.
이어 “향후 명지병원과 협업하고 있는 미국 메이요클리닉 등 해외 의료기관의 환자 테스트 과정도 추진, 국제적 협력을 통해 인공지능 침범 지수를 다듬어 의사들의 진단 정확성을 끌어올리는 게 목표”라고 덧붙였다.