

[데일리메디 임수민 기자] 코로나19 사망자 12명 중 7명의 환자가 폐 기저질환을 앓았으며 그 외 사망자 역시 만성신부전 등 기저질환으로 면역력이 저하됐던 것으로 나타났다.
경북 청도군 소재한 청도대남병원의 열악한 시설 또한 사망자 증가에 일조했다는 분석이다.
이소희 국립중앙의료원 정신건강의학과장은 26일 국립중앙의료원 연구동에서 개최된 기자회견에서 “전 세계적으로 신종 감염병이 정신병동에서 유행한 사례는 거의 못 봤는데 이번 청도대남병원 사례는 이례적인 경우다”라고 말했다.
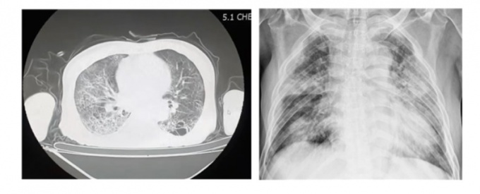
현재 청도대남병원에서는 환자 및 의료진 총 114명이 코로나 19 확진 판정을 받았고 전체 사망자 12명 중에서도 청도대남병원에서만 7명이 사망했다.
해당 7명은 청도 대남병원 폐쇄병동 장기입원 환자로 폐 관련 기저질환을 앓고 있었으며, 오랜 투병으로 건강이 불량한 상태에서 코로나19로 인한 폐렴이 급속히 진행돼 사망했다.
대남병원 외 사망환자 역시 만성신부전 등으로 건강상태가 불량했던 것으로 추정되고 이러한 면역력 저하가 코로나19 감염 후 질병의 급속한 진행과 악화 주요 요인으로 추정된다.
이 과장은 “정신병동은 폐쇄된 특성상 감염균이 침입하기 굉장히 어렵지만 한 번 침투하면 전파력과 치명률이 굉장히 높다”며 “환자들이 공동생활에서 24시간 함께 생활하며 공동 프로그램도 많이 진행하기 때문이다”라고 말했다.
이어 “청도대남병원은 사진으로 보이는 것처럼 병상에 베드도 없이 바닥에 메트리스 깔고 생활하는데 이러한 시설의 낙후됨과 열악함이 코로나19 전파에 더욱 힘을 싣어줬을 수 있다”라고 덧붙였다.
이 과장은 “정신병동은 환자 특성상 창문을 못 열어 자연환기가 어렵고 환자들은 표현을 잘 안 해 조기진료가 어렵다”며 “또한 병원에서 10~20년 동안 입원생활을 지속한 환자들은 면역력이 굉장히 저하돼있는 상태라 한번 전파되면 예후가 좋지 않다”고 말했다.
고임석 국립중앙의료원 진료부원장은 “청도 대남병원에선 환자들이 바닥 생활하기 때문에 침상이 없어 환자인식표가 제대로 갖춰지지 않아 이 환자가 어떤 환자인지 모르는 경우가 있다”며 “어떤 환자에게 어떤 처방이나 검사가 이뤄지는지에 대한 관리와 동선 관리 등 체계가 부족한 상황이다”라고 전했다.
현재 청도 대남병원에는 정기현 국립중앙의료원 원장과 감염관리전문 의사, 간호사들이 내려가 현황 파악 후 병원 자체 내부적으로 감염관리 시스템을 구축할 계획이다.
고임석 진료부원장은 “청도 대남병원에서 상태가 좋지 않은 환자 5명은 현재 국립중앙의료원으로 이송된 상황이다”며 “들어왔을 당시 가장 상태가 안좋았던 62세 남성은 이틀 만에 사망했는데 침상이 있음에도 계속 바닥에서 생활하려하고 마스크를 씌우면 계속 벗어 관리하기 어려운 점이 있었다”라고 전했다.
이어 “보통 통제가 안 되면 어느 정도 시점에는 안정제를 투여해 필요한 조치를 취하는데 해당 환자는 안정제 투여 시 호흡 억제가 있을 수 있어 쉽게 투여하지 못했다”고 덧붙였다.