
영상의학과 전공의들도 ‘한의사의 진단용 방사선 발생장치 사용 허용 법안’ 발의와 관련해 반발하고 나섰다.
전국 영상의학과 전공의들은 13일 ‘한의사의 현대의료기기 사용 허용 법안’의 잘못된 점을 조목조목 반박하는 내용의 대국민 서신을 발표했다.
이들은 대국민 서신을 통해 “정규 교육과정을 마친 의사들도 전문분야가 아니면 X-ray와 같은 진단영상을 자신 있게 판독하지 못하는 경우가 많다”며 “대한한의사협회(이하 한의협)는 진단용 방사선 발생장치만 있다면 정확한 진단, 편리한 진료, 안전한 치료 모두가 가능하다고 하는데 한의협과 이에 동조하는 일부 국회의원들 주장은 틀렸다”고 지적했다.
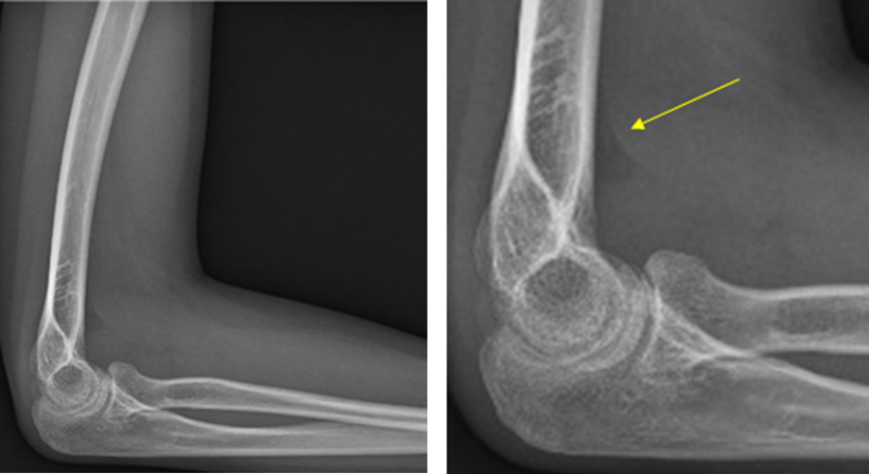
그러면서 실제 방사선 장치로 촬영한 결과를 예로 제시했다.

이들은 “X-ray에서 보이는 뼈에는 골절소견이 보이지 않지만 오른쪽 영상의 화살표가 가리키는 검은 부분은 골절에 의해 관절에 물에 차서 지방을 들어올려 발생한 것”이라고 설명했다.
그러면서 “X-ray 판독은 뼈뿐만 아니라 연조직에서 보이는 이런 소견을 확인할 줄 아는 능력이 필요하며, 이상이 있다면 원인을 명확히 알기 위해 추가검사 여부를 결정해야 한다”며 “만약 이 X-ray를 찍고도 정상으로 판독하여 추가검사를 시행하지 않았다면 잘못된 진단을 내린 것”이라고 강조했다.
이어 이들은 “이 법안이 통과된다면 한의원에서 촬영한 X-ray에서 골절이 없다는 이야기를 믿고 골절을 방치하여 생기는 건강상 피해와 의학적 전문지식이 없으면서도 X-ray를 찍고 국민건강보험 공단에 비용을 청구하는 한의사들에 의한 경제적 피해는 고스란히 국민 모두에게 돌아갈 것”이라고 우려했다.
영상의학과 전공의들은 궁극적으로 한의사들의 현대의료기기 사용을 허용하는 법안을 폐기해야 한다고 입을 모으고 있다.
이들은 “학문의 기반이 다르고 판독능력이 전무한 한의사에게 현대의료기기 사용을 허용하려는 주장을 영상의학과 전공의 일동은 도저히 납득할 수 없다”며 “한의학 전문가라 자처하는 한의사들은 자신들의 이익을 위해 국민을 속여서는 안된다. 또한 국민의 건강권을 수호해야 할 국회의원이 국민들에게 진실을 가린 채 특정 집단의 이익을 위해 일해서도 안된다”고 꼬집었다.
이어 “영상의학과 전공의로서 공부하는 것과 더불어 국민들께 이 법안이 잘못된 것임을 알려 진정으로 국민의 건강을 최우선으로 생각하는 의사들이 되도록 계속해서 뜻을 모아 앞장서 나갈 것”이라고 덧붙였다.