"뇌 MRA 검사시 환자 동의 있다면 뇌동맥류 검출 보조 가능"
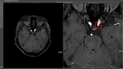
딥노이드(대표 최우식)는 인공지능(AI) 기반 뇌동맥류 검출 진단보조 솔루션 ‘DEEP:NEURO(딥뉴로)’가 건강보험 비급여로 의료기관에서 사용을 시작했다고 24일 밝혔다.딥뉴로는 지난해 식품의약안전처와 보건복지부가 주관하는 혁신의료기기 통합심사 평가를 통해 혁신의료기술로 선정됐다. 이후 국내 17개 병원에 도입을 마쳤고 절차에 따라 한국보건의료연구원에 신고, 실제 사용 허가인 '혁신의료기술 사용 신고(임상진료) 결과 통보'를 받았다. 이에 뇌 MRA 검사 시 환자 동의만 있다면 딥뉴로를 통해 뇌동맥류 검출을 보조 받을 수…
2024-04-24 14:52:00


