
우리나라 성인들은 거의 매년 국가검진이나 직장 검진을 받고 있다. 그럼에도 불구하고 투석이나 신장이식을 요하는 말기 신부전 환자는 크게 늘어나고 있는 추세다.
그 원인으로는 당뇨병이 제일 흔하고 다음이 고혈압이나 만성사구체신장염이 그 뒤를 따르고 있다.(대한신장학회 자료) 그렇지만 일반 종합검진이나 국가검진으로는 신장의 이상여부를 못 찾아내는 경우가 의외로 많다.
실제로 투석을 받고 있는 환자 대부분은 매년 종합검진을 받아왔던 환자로 자각 증상이 나타나서 병원을 찾았을 때는 이미 말기신부전으로 이행돼 바로 투석을 받게되는 경우가 많다.
말기신부전 환자가 많이 늘어나고 있는 것은 진단이 늦어져서 오는 경우가 대부분이며, 신장기능 이상여부를 단순히 소변검사에만 의존하는 경향이 많기 때문이다.
실제로 신장병 전문클리닉 조병수의원의 조병수 대표원장팀이 혈뇨나 단백뇨가 지속적으로 검출돼 신장조직검사를 시행, 만성사구체신장염으로 진단된 환자에게 면역억제제 등을 사용하여 소변검사가 완전히 정상화되었던 20예를 대상으로 신장조직검사를 다시 시행한 결과, 17예(85%)에서 사구체신장질환이 그대로 남아 있었다.(조병수 대표원장은 스페인 마드리드에서 개최된 유럽신장학회에 이 결과를 발표했다)
그러므로 소변검사 소견이 정상화됐어도 추적 신장조직검사를 실시해 사구체신장염 소견이 남아있는 경우에는 신장전문의에게 지속적으로 정밀 추적관찰을 받아야 한다.
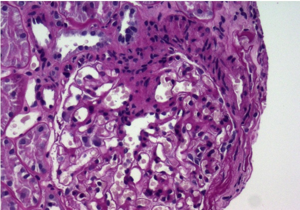
최근 50세 남자환자를 살펴보겠다. 그는 소변검사는 정상이지만 원인 불명의 고혈압으로 10년동안 고혈압약을 복용하고 있었는데 사구체 여과율이 48ml/min으로 떨어져서 내원했던 환자에게 고혈압의 원인을 찾아보기 위해 신장조직검사를 시행한 결과, IgA 신장염 3기로 진단돼 고용량 스테로이드요법을 실시해 호전된 바 있다.
만약 이 환자가 신장조직검사를 하지않고 그대로 혈압약만 복용했다면 100% 말기 신부전으로 이행돼 투석을 받아야만 하는 위험한 상황에 처했을 것이 확실시된다.

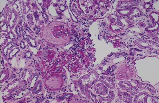
(그림 1)48세 남자 환자가 소변검사 및 혈압은 정상이었지만 여과율이 65ml/min으로 저하돼 시행한 신장조직검사상 사구체의 60%정도가 경화된 IgA 신장염4기로 판명됐다.

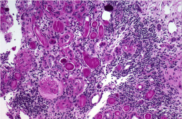
(그림 2)33세 여자 환자로 소변검사는 거의 정상이었으나 여과율이 55ml/min으로 저하된 환자에게 신장조직검사를 시행한 결과, IgA 신장염 5기로 진단된 경우도 있었다.

(그림3)물론 소변검사에서 혈뇨나 단백뇨가 지속적으로 검출되는 경우는 신장전문병원 에서 그 원인을 찾아낼 수 있지만 신장기능이 상당히 악화돼 심각한 상태에 이르러도 소변검사는 정상인 경우가 많기 때문에 소변검사 소견만 갖고 신장기능을 평가해서는 절대로 안된다.
“신장질환 조금이라도 의심되면 정밀검사 받는 것이 말기신부전 예방 첩경”
그러므로 소변검사 소견이 정상이라도 신장병 가족력이 있는 경우를 비롯해 당뇨병이나 루푸스 등의 질환을 앓고 있는 경우, 조영제를 사용한 영상의학검사를 받았던 경우, 진통제를 오랫동안 복용하였던 경우, 이유 없이 사구체 여과율이 지속적으로 낮게 나오는 경우에는 정밀검사를 받아야 한다.
또한 원인 불명의 고혈압이 있으면 반드시 그 원인을 철저히 규명한 후 약을 복용해야 한다. 단지 혈압이 높다고 무조건 혈압약만 투여해서는 안되고 반드시 고혈압의 원인을 규명해야 된다.
특히 혈압 조절은 신장의 중요한 기능이기 때문에 모든 고혈압환자는 신장 이상여부를 반드시 체크해 보아야 한다.
다른 질환과 달리 신장질환은 자각증상이 없고 신장기능이 50%이상 손상되기 전까지는 혈청 크레아티닌 검사같은 혈액검사로는대부분 정상소견으로 나오는 경우가 많다.
그렇기 때문에 신장질환이 조금이라도 의심되는 소견이 나오면 반드시 신장조직검사가 가능한 신장전문클리닉이나 병원에서 정밀검사를 받아보는 것이 말기신부전으로 이행되는 것을 예방할 수 있는 첩경이라고 할 수 있다.

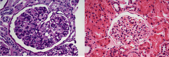
실제로 사구체신장염은 조기에 발견된다면 즉, 사구체경화증이 없거나 세뇨관 위축이 심하지 않은 경우는 적극적인 치료로 완치시킬 수 있다. (그림4/5)
결론적으로 소변검사 소견이 정상이라도 신장기능이 저하되어 있는 경우나 원인 불명의 고혈압이 있는 경우에서는 신장조직검사 등의 철저한 검사를 통해 확실한 원인규명을 하고 나서 적극적인 치료를 한다면 말기신부전으로의 이행을 예방할 수 있다.