[데일리메디 박대진기자] 국내 연구진이 한국인 희귀질환 데이터를 분석해 10년 넘게 미진단 상태로 살아온 청소년 환자의 병명을 성공적으로 찾아냈다.
서울대병원 임상유전체의학과 채종희 교수팀은 대규모 유전체 정보를 분석해 이 같은 결과를 확인했다고 23일 발표했다.
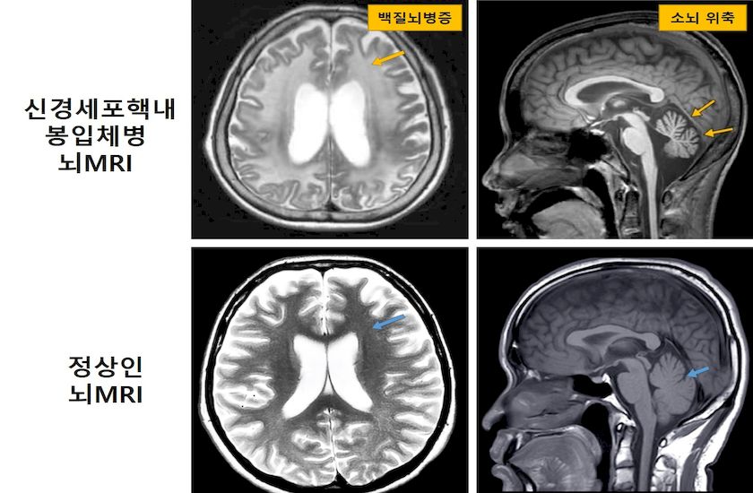
‘신경세포핵내봉입체병’은 비정상적인 단백질(봉입체)이 축적되는 신경퇴행성장애다. 원인은 NOTCH2NLC 유전자에서 GGC 염기서열이 비정상적으로 반복되는 ‘단연쇄반복 변이’ 때문이다.

주로 성인기 발병하며 백질뇌병증, 진행성 인지기능 장애, 실조증과 같은 다양한 신경학적 증상을 동반한다.
그러나 유전체를 짧은 단위로 나눠 분석하는 쇼트리드를 이용한 기존의 차세대염기서열분석은 단연쇄반복 패턴을 식별하는 데 한계가 있었다.
따라서 신경세포핵내봉입체병 의심 소견이 나타나더라도 정확한 유전자 진단이 이뤄지기 어려운 상황이었다.
연구팀은 단연쇄반복 변이를 식별하기 위해 유전체를 긴 단위로 분석하는 롱리드 방법을 도입한 최신 시퀀싱 기법을 구축했다.
이를 활용해 서울대병원에 내원한 원인불명 백질뇌병증 환자 90명 중 신경세포핵내봉입체병 영상 소견이 있는 환자의 전장유전체 데이터 분석이 이뤄졌다.
그 결과 16명(17.8%)에서 단연쇄반복 변이가 확인됐다. 즉 국내 원인불명 백질뇌병증 환자 10명 중 1~2명은 희귀질환 신경세포핵내봉입체병을 앓고 있다.
이는 동아시아인에서 이 질환이 빈번하다는 기존 연구 결과를 뒷받침한다고 연구팀은 설명했다.
나아가 연구팀은 국내 희귀질환 환자와 가족 3887명의 유전체 정보를 분석해 NOTCH2NLC 유전자의 GGC 염기서열 반복 횟수 분포를 확인했다.
아울러 이 염기서열이 ‘65회 이상’ 반복될 때부터 신경세포핵내봉입체병으로 추정할 수 있다고 결론 내렸다.
이 기준을 적용한 결과 한국 바이오뱅크에 등재된 미진단 신경퇴행 환자 6명을 신경세포핵내봉입체병으로 새롭게 추정할 수 있었다.
채종희 교수는 “이번 연구결과는 희귀질환 진단 연구에 있어 대규모 데이터에 입각한 유전체 분석의 중요성을 보여준다”고 의미를 부여했다.
이어 “국가 차원에서 구축한 바이오 빅데이터를 초석 삼아 향후 희귀질환의 새로운 진단법 및 치료제 개발로 이어지는 확장 연구를 진행할 수 있을 것으로 기대된다”고 덧붙였다.
한편, 이 연구는 ‘국가 바이오 빅데이터 구축 시범사업’으로 구축된 빅데이터를 기반으로 진행됐으며, 국제학술지 ‘신경유전학(Neurology Genetics)’ 최신호에 게재됐다.
박대진 기자